
Laminatveneers: Verfahren, Kosten und Vorteile
Sind Sie es leid, Ihr Lächeln wegen abgebrochener, verfärbter oder deformierter Zähne zu verbergen? Ziehen Sie kosmetische Zahnmedizin und Laminatveneers als Lösung in Betracht. Lassen Sie sich durch Zahnverfall nicht davon abhalten, selbstbewusst zu lächeln. Laminatveneers sind die Antwort auf Ihre zahnmedizinischen Probleme. Diese Veneers aus Porzellan oder Kompositmaterial sind dafür ausgelegt, die Vorderseite der Zähne zu bedecken und ihr Erscheinungsbild sofort zu verändern. Mit kosmetischer Zahnmedizin können Laminatveneers verfärbten Zähnen ein Ende bereiten und ein strahlendes Lächeln ermöglichen. Unabhängig davon, ob Sie empfindliche Zähne haben oder nicht – ein natürlicher Zahn kann vom Zahnarzt ästhetisch umgestaltet werden. Wenn Sie die Farbe, Form oder Größe Ihrer Zähne verändern möchten, bieten kosmetische Veneers eine maßgeschneiderte Behandlung. Das Zahnärzteteam fertigt Veneers an, die zu Ihren natürlichen Zähnen passen und ein harmonisches, ästhetisches Ergebnis erzielen. Die kosmetische Zahnmedizin bietet zahlreiche Lösungen für Zahnprobleme, darunter Laminatveneers. Diese eignen sich besonders gut für die Frontzähne und bieten eine langlebige Lösung. Verabschieden Sie sich von Unsicherheit und begrüßen Sie neues Selbstvertrauen. Laminatveneers sind ideal für Patienten, die das Erscheinungsbild ihrer Frontzähne verbessern möchten – ganz ohne umfangreiche Zahnpräparation.

Vorteile und Pluspunkte von Laminatveneers
Laminatveneers bieten zahlreiche Vorteile und steigern das Lächeln und Selbstvertrauen vieler Menschen. Hier die wichtigsten Gründe, warum Veneers eine beliebte Wahl sind:
Verbessert das Lächeln und stärkt das Selbstbewusstsein
Einer der größten Vorteile von Laminatveneers ist ihre Fähigkeit, das Lächeln vollständig zu verändern. Bei abgebrochenen, verfärbten oder leicht schiefen Zähnen können Veneers diese Makel verbergen und ein gleichmäßigeres, ästhetischeres Lächeln schaffen. Durch das Kaschieren von Unregelmäßigkeiten gewinnen Menschen mehr Selbstvertrauen.
Beständig gegen Verfärbungen durch Speisen und Getränke
Im Gegensatz zu natürlichen Zähnen sind Laminatveneers äußerst resistent gegenüber Verfärbungen durch Lebensmittel und Getränke. Egal ob morgendlicher Kaffee oder ein Glas Rotwein am Abend – Veneers behalten ihre Farbe. Bei richtiger Pflege bleiben sie jahrelang hell und strahlend.
Erfordert nur minimale Zahnpräparation
Ein großer Vorteil von Laminatveneers ist, dass für ihre Anbringung nur sehr wenig Zahnsubstanz entfernt werden muss. Während andere kosmetische Behandlungen umfangreiche Zahnformungen erfordern können, wird hier lediglich eine dünne Schicht Zahnschmelz von der Vorderseite abgetragen. In manchen Fällen können sogar „non-prep“-Veneers eingesetzt werden. Diese schonende Methode erhält die natürliche Zahnstruktur bestmöglich.
Korrigiert mehrere ästhetische Probleme gleichzeitig
Laminatveneers sind vielseitig und können mehrere kosmetische Zahnprobleme in nur einem Schritt beheben. Verfärbungen, Zahnlücken oder leichte Fehlstellungen lassen sich gleichzeitig korrigieren. So erhalten Patienten ein umfassendes Smile-Makeover, ohne viele einzelne Behandlungen durchlaufen zu müssen.
Natürliches, harmonisches Ergebnis
Ein besonders attraktiver Aspekt von Veneers ist ihr natürlicher Look. Sie werden individuell gefertigt, sodass Form, Größe und Farbe exakt zu den vorhandenen Zähnen passen. Dadurch lassen sie sich praktisch nicht von den natürlichen Zähnen unterscheiden.
Ablauf der Behandlung mit Laminatveneers
Sie haben sich entschieden, Ihr Lächeln mit Laminatveneers zu verbessern. Eine ausgezeichnete Wahl! Hier ist der Ablauf:
Erstberatung beim Zahnarzt
Der erste Schritt besteht darin, einen Beratungstermin zu vereinbaren. In diesem Gespräch werden Ihre Wünsche, Ziele und eventuelle Bedenken besprochen. Der Zahnarzt untersucht die Zähne und entscheidet, ob Sie für Veneers geeignet sind. Außerdem erklärt er den gesamten Ablauf ausführlich.
Zahnschleifen: Entfernen des Zahnschmelzes
Sobald Sie und Ihr Zahnarzt beschlossen haben, mit Laminatveneers fortzufahren, folgt der nächste Schritt – die Vorbereitung der Zähne. Dabei wird eine kleine Menge Zahnschmelz von der Vorderseite jedes Zahns entfernt, der ein Veneer erhalten soll. Keine Sorge – dieser Vorgang erfolgt unter lokaler Betäubung und verursacht keine Schmerzen. Das Entfernen des Schmelzes ist notwendig, um Platz für das Veneer zu schaffen und eine sichere Haftung zu ermöglichen. Ihr Zahnarzt wird äußerst sorgfältig vorgehen, um so viel gesunde Zahnsubstanz wie möglich zu erhalten und dennoch optimale Ergebnisse zu erzielen. In geeigneten Fällen können wir die Zähne sogar mit Veneers versorgen, ohne sie reduzieren zu müssen.
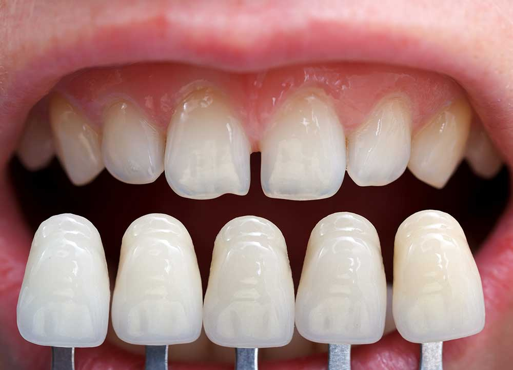
Abdrücke für maßgefertigte Veneers
Nach der Vorbereitung Ihrer Zähne werden Abdrücke genommen, um maßgefertigte Veneers herzustellen, die perfekt zu Ihrem Lächeln passen. Diese Abdrücke dienen als exakte Formen und erfassen Größe und Form der vorbereiteten Zähne. Anschließend werden sie an ein Dentallabor geschickt, wo erfahrene Techniker sie als Vorlage für die Herstellung Ihrer individuellen Veneers nutzen. Faktoren wie Farbe, Form und Größe werden berücksichtigt, damit die Veneers später nahtlos mit Ihren natürlichen Zähnen harmonieren.
Provisorische Veneers
Während Ihre endgültigen Veneers im Labor hergestellt werden, erhalten Sie möglicherweise provisorische Veneers. Diese dienen als Übergangslösung, um die vorbereiteten Zähne zu schützen und Ihre Ästhetik aufrechtzuerhalten, bis die endgültigen Veneers eingesetzt werden. Provisorische Veneers bestehen meist aus Acryl oder Kompositmaterial. Sie sind nicht so langlebig wie die endgültigen Veneers, geben Ihnen aber bereits einen guten Eindruck von Ihrem zukünftigen Lächeln.
Endgültiges Einsetzen: Das Bonding der Veneers
Sobald Ihre individuellen Veneers fertig sind, folgt der wichtigste Schritt – das endgültige Einsetzen. Ihr Zahnarzt entfernt die provisorischen Veneers und befestigt die endgültigen Veneers mit einem starken dentinen Kleber auf Ihren vorbereiteten Zähnen. Dabei achtet er darauf, dass jedes Veneer optimal sitzt und perfekt an Ihre natürlichen Zähne anschließt. Falls notwendig, werden kleine Anpassungen für den Biss und die Ästhetik vorgenommen. Und voilà – der Vorgang ist abgeschlossen und Sie können Ihr neues, natürlich wirkendes und selbstbewusstes Lächeln genießen. Denken Sie daran, dass die Behandlung mit Laminatveneers ein präziser, mehrstufiger Prozess ist, der fachliche Erfahrung erfordert. Die Wahl eines qualifizierten ästhetischen Zahnarztes ist für ein erfolgreiches Ergebnis entscheidend.
Kosten von Laminatveneers: Wichtige Einflussfaktoren
Mehrere Faktoren beeinflussen die Gesamtkosten Ihrer Behandlung. Diese zu verstehen ist wichtig, um eine fundierte Entscheidung zu treffen. Hier sind die wichtigsten Punkte:
Material: Porzellan vs. Komposit
Einer der größten Kostenfaktoren ist das verwendete Material. Es gibt zwei Hauptoptionen: Porzellan und Komposit.
Porzellanveneers sind teurer, da sie langlebiger sind, eine natürlichere Optik bieten und höher resistent gegen Verfärbungen sind. Kompositveneers sind hingegen günstiger, ohne dass Sie auf Ästhetik oder Funktion verzichten müssen.
Porzellanveneers – Vorteile:
-
Längere Lebensdauer
-
Perfekte ästhetische Ergebnisse
-
Hohe Resistenz gegen Verfärbungen
Nachteile:
-
Mehrere Zahnarztbesuche notwendig
-
Etwas anfälliger für Absplittern oder Risse
-
Höhere Gesamtkosten im Vergleich zu Komposit
Anzahl der benötigten Veneers
Auch die Anzahl der Veneers beeinflusst den Preis. Manche Patienten benötigen nur ein oder zwei Veneers für einzelne Problemstellen, andere wünschen ein komplettes Smile-Makeover für beide Kiefer. Je größer der Behandlungsumfang, desto höher die Kosten.
Vorteile:
-
Wenige Veneers sind kostengünstiger
-
Ein vollständiges Set bietet eine umfassende ästhetische Veränderung
Nachteile:
-
Der Gesamtpreis steigt mit jedem zusätzlichen Zahn
Standort und Reputation der Zahnarztpraxis
Der Standort und der Ruf der Praxis haben großen Einfluss auf den Preis. Kliniken in gehobenen Gegenden oder bekannte Spezialisten verlangen in der Regel höhere Honorare. Kliniken in wirtschaftlich günstigeren Regionen bieten oft dieselbe Behandlung zu einem niedrigeren Preis an.
Vorteile:
-
Renommierte Praxen liefern oft hervorragende Ergebnisse
-
Günstigere Regionen bieten Kostenersparnis bei guter Qualität
Nachteile:
-
Höhere Preise in angesehenen Kliniken
-
Bei weniger bekannten Praxen kann Unsicherheit über die Qualität bestehen
Zusätzliche Behandlungen: Zahnaufhellung
Manchmal sind vor Veneers zusätzliche Behandlungen nötig. Häufig ist dies die Zahnaufhellung. Bei starken Verfärbungen empfiehlt sich eine Whitening-Behandlung, um ein einheitliches Ergebnis zu erzielen. Diese zusätzlichen Maßnahmen erhöhen jedoch die Gesamtkosten.
Pflegehinweise für Laminatveneers
Damit Ihre Veneers langfristig schön bleiben, ist die richtige Pflege entscheidend.
-
Regelmäßiges Zähneputzen und Zahnseide
-
Keine harten Gegenstände beißen
-
Regelmäßige Kontrolltermine
-
Nicht-abrasive Zahnpasta verwenden
-
Mundschutz bei Sportarten tragen
Bei guter Pflege können Veneers viele Jahre perfekt aussehen.
Vergleich: Veneers vs. Kronen
Laminatveneers und Kronen sind beide beliebte Lösungen, unterscheiden sich jedoch deutlich:
-
Veneers behandeln vor allem ästhetische Probleme
-
Kronen bieten strukturelle Stabilität
-
Veneers erfordern weniger Zahnschleifen
-
Kronen bedecken den gesamten Zahn, Veneers nur die Vorderfläche
-
Leichte Fehlstellungen können mit Veneers ausgeglichen werden, schwere Fehlstellungen benötigen Orthodontie
Durch moderne Materialien kann man jedoch auch mit Kronen hervorragende ästhetische Ergebnisse erzielen.
Ein schönes Lächeln mit Laminatveneers
Sie wissen nun alles über Vorteile, Ablauf, Kosten, Pflege und Alternativen. Mit diesem Wissen können Sie gut entscheiden, ob Veneers die richtige Wahl für Sie sind. Der nächste Schritt besteht darin, einen Beratungstermin beim Zahnarzt zu vereinbaren, um ein persönliches Behandlungskonzept zu erhalten.
Häufig gestellte Fragen
Sind Laminatveneers dauerhaft?
Bei guter Pflege können sie viele Jahre halten.
Ist der Vorgang schmerzhaft?
In der Regel nicht, da lokale Betäubung verwendet wird. Danach kann eine leichte Empfindlichkeit auftreten.
Kann ich normal essen?
Ja – vermeiden Sie nur extrem harte Gegenstände oder das Öffnen von Dingen mit den Zähnen.
Benötigen Veneers besondere Pflege?
Normale Mundhygiene ist ausreichend. Schlechte Gewohnheiten wie Nägelkauen sollten vermieden werden.
Können Veneers schiefe Zähne korrigieren?
Leichte Fehlstellungen können kaschiert werden. Bei schweren Fällen wird eine kieferorthopädische Behandlung empfohlen.

